Implantes dentales en Sanlúcar de Barrameda
Transforma tu sonrisa en Clínica Ferrándiz-Murillo
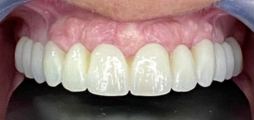
Aplicamos Diseño Digital de la Sonrisa (DSD) en todos nuestros tratamientos de implantología, para una sonrisa natural y duradera
Llevamos más de 20 años ayudando a pacientes como tú a recuperar la confianza con tratamientos de implantología avanzada provenientes de Sanlúcar de Barrameda. Aquí no aplicamos soluciones genéricas ni modas pasajeras: analizamos tu caso al milímetro y conseguimos que vuelvas a sonreír sin complejos.
Implantes dentales en Sanlúcar de Barrameda: Soluciones efectivas para una sonrisa perfecta
La implantología inmediata se presenta como una solución efectiva para personas que han perdido una o varias piezas dentales. Este tratamiento permite reemplazar las raíces dentales ausentes por implantes de titanio, buscando restaurar tanto la funcionalidad como la estética dental. En la Clínica Dental Ferrándiz-Murillo, ofrecemos diversas opciones de implantes y un proceso adaptado a las necesidades de cada paciente. Con tecnología avanzada y un equipo profesional, se garantiza un tratamiento eficaz y seguro para los pacientes de la provincia.
Ventajas de apostar por la implantología dental
Los implantes dentales ofrecen múltiples beneficios para quienes buscan recuperar su sonrisa y funcionalidad dental. En Sanlúcar de Barrameda, estas soluciones se presentan como una opción altamente valorada por su impacto positivo en la salud bucal.
⇢ Funcionalidad y estética para tus dientes
La capacidad de los implantes para imitar la apariencia y función de los dientes naturales es notable. Los pacientes disfrutan de una mejora significativa en su estética dental, así como de la confianza al hablar y comer.
⇢ Conservación ósea y salud bucal
Un aspecto fundamental de los implantes es su contribución a la salud ósea. Al reemplazar las raíces de los dientes perdidos, se evita la pérdida ósea, favoreciendo la integridad de la mandíbula y, por tanto, la salud general de la boca.
⇢ Durabilidad y confianza en nuestros tratamientos
- Los implantes dentales están diseñados para durar muchos años, incluso toda la vida, siempre que se les proporcione un cuidado adecuado.
 - Los pacientes pueden confiar en que recibirán un tratamiento fiable y eficaz, con un seguimiento profesional que asegurará la longevidad de los implantes.
 
Tipos de tratamientos con implantología inmediata
La implantología inmediata ofrece soluciones personalizadas para quienes han perdido uno o más dientes. Existen diferentes opciones adaptadas a las necesidades de cada paciente.
‣ Implante dental unitario: recuperación rápida y eficaz
El implante dental unitario es la opción ideal para sustituir un solo diente ausente. Este tratamiento permite una recuperación rápida y efectiva. Se inserta un tornillo de titanio en el hueso, proporcionando una base estable para la corona que se colocará posteriormente. Así, el paciente puede disfrutar de una sonrisa natural y funcional en poco tiempo.
‣ Puente sobre implantes para múltiple ausencia dental
Para aquellos que necesitan reemplazar varios dientes, el puente sobre implantes es la solución más adecuada. Este tratamiento conecta múltiples coronas a través de los implantes, garantizando estabilidad y estética. La colocación de puentes sobre implantes proporciona un funcionamiento óptimo y una mejora significativa en la calidad de vida.
‣ Prótesis dental fija y removible adaptada a cada paciente
Las prótesis dentales, tanto fijas como removibles, se pueden personalizar para satisfacer las necesidades individuales. Las prótesis fijas se unen permanentemente a los implantes, mientras que las removibles ofrecen flexibilidad. Cada opción presenta beneficios relevantes, permitiendo a los pacientes elegir la que mejor se ajuste a su estilo de vida.
Todos nuestros Protocolos inmediatos sobre implantes siempre constan de 2 fases de rehabilitación dental:
- La rehabilitación dental fija inmediata desde el primer día
 - La rehabilitacion fija definitiva, pasado el periodo de osteointegracion y conformación gingival
 
Aquí puedes ver un esquema de diferentes tipos de tratamientos de implantología inmediata, dependiendo de atrofia maxilar ósea. (imagen Nobel Biocare):
			El proceso en nuestra clínica dental en Sanlúcar de Barrameda
El tratamiento de implantología inmediata en la Clínica Dental Ferrándiz-Murillo se lleva a cabo a través de un procedimiento bien estructurado y profesional. Cada fase está diseñada para garantizar el éxito del tratamiento y la satisfacción del paciente.
Evaluación y diagnóstico con tecnología avanzada
La primera fase del proceso implica un análisis exhaustivo del estado bucal del paciente. Esto incluye una valoración detallada de la salud dental y la realización de pruebas diagnósticas precisas.
			Uso de TAC 3D para precisión en implantología
La utilización de tecnología de TAC 3D permite obtener imágenes detalladas de la estructura dental, asegurando una colocación exacta de los implantes. Esta herramienta tecnológica es fundamental para planificar el tratamiento de forma personalizada.
Primera visita y planificación personalizada
Tras la evaluación inicial, se programará una consulta donde se discutirá un plan de tratamiento individual. La planificación se adapta a las necesidades específicas de cada paciente.
Cirugía y colocación de implantes con nuestro equipo experto
El siguiente paso es la cirugía, que se realiza en un entorno controlado y seguro. Un equipo de profesionales lleva a cabo la colocación de los implantes con técnica y cuidado, minimizando cualquier tipo de complicación.
Integración y cuidado postoperatorio para garantizar la longevidad
Una vez colocados los implantes, se inicia el proceso de osteointegración. El seguimiento postoperatorio es esencial para asegurar el éxito a largo plazo de los implantes.
- Se realizan chequeos regulares para monitorizar la evolución.
 - Se aconseja mantener una buena higiene bucal y evitar hábitos nocivos.
 
¿Por qué elegir Ferrándiz-Murillo para tu tratamiento de implantología dental?
Cada vez son más las personas que se desplazan desde Sanlúcar a nuestra clínica de El Puerto para la colocación de implantes dentales, porque:
- Contamos con más de 20 años de experiencia y profesionales debidamente formados en esta especialidad de la Odontología.
 - Trabajamos con planificación digital individualizada
 - Usamos materiales de alta gama y tecnología de diagnóstico avanzada
 - Nuestra prioridad es que el tratamiento encaje con tu estilo y personalidad
 
No hacemos sonrisas “de catálogo”. Hacemos la tuya.
Queremos ser tu clínica dental de confianza si vienes desde Sanlúcar de Barrameda
En Sanlúcar de Barrameda, se encuentran diversas clínicas que destacan por su atención profesional y los servicios de calidad que ofrecen a sus pacientes. Pero cada vez vienen más pacientes a nuestra clínica de El Puerto de Santa María. Por algo será.
⇢ La experiencia y profesionalidad de nuestros dentistas
Los profesionales de las clínicas dentales en la zona poseen una amplia formación y experiencia en el campo de la odontología. Esto garantiza un trato personalizado y el desarrollo de tratamientos adaptados a las necesidades de cada paciente. Su compromiso con la excelencia se refleja en los resultados obtenidos.
⇢ Tecnología puntera para tratamientos dentales efectivos
Las clínicas utilizan tecnología de última generación, lo que permite realizar diagnósticos precisos y tratamientos seguros. Entre las herramientas disponibles se encuentran:
- TAC 3D para un análisis detallado de la estructura ósea.
 - Equipos de rayos X digitales que reducen la exposición a radiaciones.
 - Sistemas de diseño asistido por ordenador para prótesis personalizadas.
 
⇢ Servicios complementarios: ortodoncia, blanqueamiento y limpieza dental
Más allá de la implantología, se ofrecen diversos tratamientos complementarios que contribuyen a mantener la salud dental. Estos incluyen:
- Ortodoncia, para corregir problemas de alineación.
 - Blanqueamiento dental, que mejora la estética de la sonrisa.
 - Limpieza dental profesional, para prevenir enfermedades bucales.
 
Fuera filtros: recupera una sonrisa que no necesites retocar.
Más de 20 años, un equipo multidisciplinar, cuidando tu salud y tu estética de diseño. Nuestro método se basa en la conjunción de todos estos tratamientos:
Tenemos a la Mejor Implantóloga dental: la Dra. María Jesús Murillo
Tus implantes están en las mejores manos posible:
Nuestra Experta en implantología avanzada en Sanlúcar de Barrameda
Chus Murillo comienza en Granada su carrera en Odontologia y alcanza en Madrid el Grado de Magister en Cirugía Bucal e Implantología Oral de la mano de grandes referentes profesionales de la especialidad, con los que también trabaja en investigación para la obtención del Diploma de Estudios Avanzados de doctorado en el departamento de Medicina y Cirugía Buco Facial de la Universidad Complutense de Madrid.
Su dedicación exclusiva a Cirugía bucal e Implantología de los primeros años, le permiten comenzar un posgrado en su otra especialidad actual, la Ortodoncia, y concretamente en Ortodoncia Invisible y digital.
Fusionando Ortodoncia, Cirugía Bucal e Implantología al máximo nivel y con todos los avances digitales de ambas especialidades, para el beneficio de sus pacientes y equipo de trabajo.
Opiniones de clientes sobre nuestro servicio de Implantología avanzada + DSD
Después de más de 20 años ejerciendo como especialistas en implantes dentales y Diseño digital de la Sonrisa (DSD), la mayor recompensa para nosotros es construir la sonrisa perfecta para nuestros pacientes, basada en unacorrecta salud bucodental, para posteriormente aplicar las técnicas adecuadas de implantes dentales, con los que se sientan cómodos y seguros de sí mismos.
Todos ellos han vuelto a sonreír:

Trato recibido por parte de los doctores y por el resultado !!
Preguntas frecuentes sobre el tratamiento de implantes dentales en Sanlúcar de Barrameda:
¿Cuánto cuesta un implante dental en Sanlúcar de Barrameda?
El coste de un implante dental puede variar en función de varios factores. Generalmente, los precios oscilan entre 800 y 1500 euros. Este rango depende del tipo de implante, la complejidad del caso, y si se requieren tratamientos adicionales, como injertos óseos. Lo mejor es que nos contactes directamente, pidas tu cita y te veamos en persona.
¿Qué cuidados debo seguir después de un implante dental?
La colocación de un solo implante suele durar entre 30 y 60 minutos, dependiendo de la complejidad del caso. Si hablamos de una rehabilitación completa con varios implantes, el procedimiento puede durar entre 1 y 2 horas. Gracias a la planificación digital, todo se realiza con máxima precisión y menor tiempo en sillón.
¿Es doloroso el proceso de colocación del implante?
El procedimiento se lleva a cabo bajo anestesia local, minimizando el dolor durante la cirugía. Después, es normal experimentar alguna molestia, que puede ser gestionada con medicación prescrita por el dentista.
¿Sólo atendéis pacientes de Sanlúcar de Barrameda?
No. Nuestra clínica está en El Puerto, y además de pacientes de Sanlúcar, también atendemos a todo aquel que viene desde otros puntos de la provincia, como por ejemplo:
- Jerez de la Frontera
 - San Fernando
 - Cádiz
 - Puerto Real
 
¿Cuánto tiempo tarda la osteointegración y cuándo puedo sonreír?
La osteointegración, es decir, el proceso de fusión del implante con el hueso, generalmente toma entre 3 y 6 meses. Una vez finalizada esta fase, se podrá colocar la prótesis y disfrutar de una nueva sonrisa. Pide cita y nosotros valoramos tu caso de forma personalizada.
¿Por qué elegir a Ferrándiz-Murillo para ponerse implantes?
Porque somos especialistas en implantes dentales con carga inmediata y planificación digital avanzada (DSD). Llevamos más de 20 años realizando este tipo de tratamientos con éxito, combinando tecnología, experiencia y honestidad. No solo colocamos implantes: diseñamos sonrisas reales, estéticas y funcionales desde el primer día.
Quiero ponerme un implante dental ¿Dónde está la clínica y cómo puedo pedir cita?
Nos encontramos en la Calle Manuel Álvarez, 51, en El Puerto de Sta María, frente al hospital. Puedes pedir cita llamando al 685 47 25 22 o a través de nuestro sitio web en la sección de “Pedir Cita”. También, puedes pedir cita vía WhatsApp clicando aquí.
Trabajamos con los mejores
Nuestros trabajos estéticos de laboratorio los realizamos con equipos Protésicos de El Puerto de Santa Maria, Jerez, Sevilla, Madrid, Timisoara, Brasil y Nápoles, según las necesidades del tratamiento. Todos estos centros están especializados en flujo de trabajos Digital y de Diseño de Sonrisa.
Contáctanos
Somos expertos en Implantología dental para pacientes de Sanlúcar.
Contactemos
					






